Dental Crowns and Dental Bridges before and after images are of a patient or patients who have undergone the same treatment with phenomenal results. The photos were taken before the procedure and after the procedure once the dental implant treatment has been completed.
Real Patients Cases
Please look through these fabulous dental crown and bridges patient cases to see how Dr. McOmie can help you reconstruct your smile.
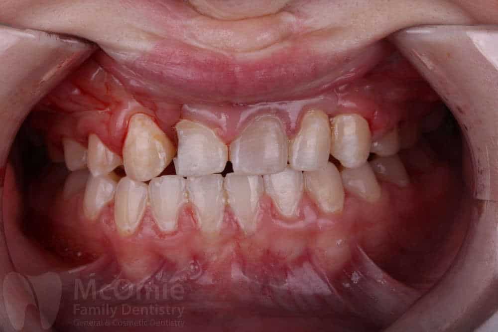
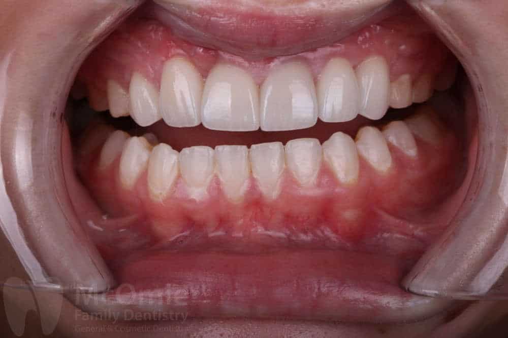
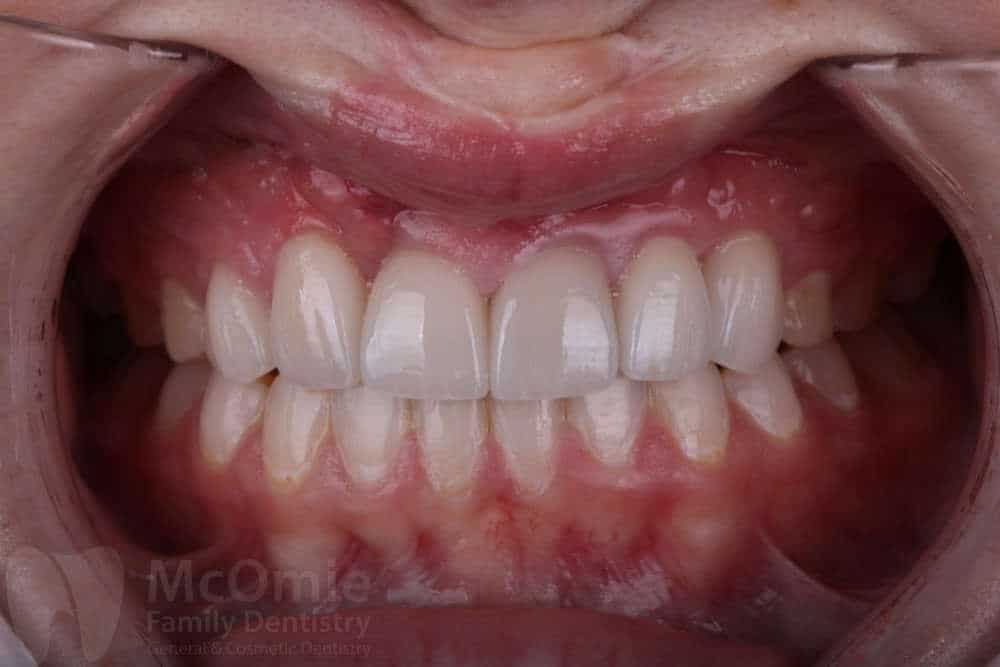
Case 96 – Dental Crowns
This patient underwent a challenging cosmetic restoration involving full-coverage crowns to mask severely dark underlying tooth structure. The smile now appears vibrant and harmonious, with no trace of the discoloration beneath. While only the upper arch has been completed so far, plans are in place to restore the lower arch in the near future. The transformation achieved with this upper restoration is dramatic and sets the foundation for a fully rejuvenated smile.
Case 95 – Dental Crowns
This patient had previously placed crowns at the center of their smile that were overly prominent and didn’t blend with the surrounding teeth. There were also concerns with overall tooth shape, color, and aging dental work. A combination of crowns and veneers was used to improve balance, brighten the smile, and create a more natural appearance. With detailed porcelain work by our master ceramists, the final result is both beautiful and lifelike.
Case 94 – Dental Crowns
This complex case involved correcting both congenital and developmental dental concerns to achieve a fully functional and cosmetic result. The patient was born without a lateral incisor on the upper right side and had a cleft lip and palate, which required multiple surgeries and years of orthodontic treatment. The canine was moved into the lateral position during braces to help close the space. To complete the transformation, crowns and veneers were placed to create proper tooth shape, proportion, and alignment. The final result combines detailed ceramic craftsmanship with comprehensive planning to deliver a smile that is both natural-looking and beautifully finished.
Case 93 – Dental Bridges
This patient had old veneers and a bridge that no longer matched the natural aesthetics of her smile. She was also born without one tooth, which had previously been replaced with a bridge. The existing restorations showed visible wear and lacked the natural appearance she was looking for. We replaced the old veneers and bridge with new, carefully crafted restorations that improved both color and shape. Attention to detail, especially along the incisal edges and gumline, brought the smile back to life with a natural, vibrant look.
Case 92 – Dental Bridges
This case involved a combination of veneers and a bridge to restore a complete and confident smile. Before treatment, the patient was hesitant to smile due to a missing tooth and uneven appearance. Three veneers were placed on the right side, and a bridge on the left side replaced the missing tooth. The final result looks natural and balanced, improving both aesthetics and function.
Case 91 – Dental Crowns
This case involved a combination of crowns and veneers to enhance both the appearance and health of the smile. The treatment improved color, shape, and alignment, resulting in a clean, natural look. All restorations were completed using high-quality, American-made materials, crafted, and placed with precision in our Chattanooga office. The result is a confident, balanced smile that reflects careful planning and expert execution.
Case 90 – Dental Crowns
This patient chose to replace an open-face gold crown with a restoration that matched her natural teeth. A single custom crown was carefully designed to blend seamlessly in color and shape. The result is a flawless match, making it impossible to tell any dental work was ever done, leaving her with a beautifully cohesive and confident smile.
Case 89 – Dental Crowns
This patient had old porcelain-fused-to-metal (PFM) crowns that showed discoloration and a dark line at the gumline. The restorations had become opaque and no longer blended naturally with her smile. Dr. Mark McOmie replaced them with stronger, more lifelike crowns, crafted with precise porcelain detailing by our master ceramists. The new restorations not only enhance durability but also provide a natural translucency that makes them indistinguishable from real teeth. With just a few carefully designed crowns, her smile now looks brighter, more balanced, and truly shines.
Case 88 – Dental Crowns
This patient wanted her smile to look more natural and cohesive. Careful work was done to update her dental restorations, ensuring that the teeth matched seamlessly and complemented her overall appearance. The final result is a bright, balanced smile that looks natural and has significantly boosted her confidence. She was thrilled with the transformation.
Case 87 – Dental Crowns
This patient came to us with a broken and darkened front tooth that couldn’t be repaired, along with a crossbite that required attention. Dr. Mark McOmie addressed these challenges by placing three crowns and a bridge, improving both the bite alignment and the smile’s appearance. The result is a balanced, natural-looking smile that enhances the patient’s confidence and oral health.
Case 86 – Dental Crowns
Born without lateral incisors, this patient had relied on a flipper for years. Due to insufficient bone for implants and a desire to avoid bone grafting, he opted for dental bridges. Dr. Mark McOmie crafted natural-looking bridges that blend seamlessly with the surrounding teeth, giving the patient a functional and aesthetically pleasing smile.
Case 85 – Dental Crowns
Over time, this patient’s original veneers had begun to chip, and the crown on one tooth fractured just above the gumline. Our cosmetic dentist carefully replaced the old restorations, saving the fractured tooth with a new crown and updating the veneers to achieve a unified and vibrant smile. The combination of new veneers and a crown not only revitalizes the patient’s appearance but also reinforces the durability and function of the teeth.
Case 84 – Dental Crowns
This patient came to us with old crowns that had a metal base, causing a dark appearance at the gumline. The patient was also unhappy with the uneven gumline and the dull color of the teeth. Dr. Mark McOmie replaced the crowns with new ones, improving both functionality and appearance. Gingival recontouring was also performed to achieve symmetry in the gumline, further enhancing the cosmetic outcome. The new crowns, crafted by our skilled ceramists, resulted in a brighter and more natural smile.
Case 83 – Dental Crowns
This patient had two gold crowns with the letter “T” inscribed. She wanted to replace the gold with more natural-appearing crowns, so we placed two ceramic crowns that beautifully blended in with her smile.
Case 82 – Dental Bridges
Born without lateral incisors, this patient used a retainer with artificial teeth attached to the wire that didn’t align well with her gums. She also had a gap between her front teeth and overall small-sized teeth. We addressed these issues by placing two bridges, resulting in a well-aligned and aesthetically pleasing smile.
Case 81 – Dental Crowns
This patient had suffered a dental injury, leading to broken teeth and worsened by subpar bonding work. She needed help to correct her smile’s color, size, and shape. Our team at McOmie Family Dentistry addressed these concerns by placing two custom crowns, designed to match the rest of her teeth. The procedure restored her smile, resulting in a cohesive and natural look. She was thrilled with the results and couldn’t be happier with her new appearance.
Case 80 – Dental Crowns
This patient was born without lateral incisors, causing significant dental challenges while growing up. Dr. McOmie expertly placed natural-looking bridges in just two visits, enhancing her smile remarkably. The bridges improved the aesthetics of her smile and provided a perfect fit without needing adjustments, offering her newfound confidence. This case highlights the meticulous work and attention to detail in creating a vibrant smile.
Case 79 – Dental Crowns
Having undergone years of orthodontic treatment and surgeries to repair a cleft lip and cleft palate, this patient came to McOmie Family Dentistry to get his teeth repaired. The patient’s gums were recessed on the right side. Our dentist placed crowns, designed by master ceramists, to correct the smile. The outcome was a beautifully restored smile, achieving both functional and cosmetic improvements.
Case 78 – Dental Crowns
This patient came in with temporary crowns placed by another dentist. After months of frustration with attempts at placing the restoration, she came to our cosmetic dentist office for help. Dr. McOmie restored her smile promptly, creating a stunning result.
Case 77 – Dental Crowns
This patient came to our clinic, having endured dental challenges over the years, including extractions and noticeable dental issues that impacted her confidence. She humbly asked if we could make her look “a little better.” Through meticulous work, not only were her teeth restored, but she also received a smile she had never imagined possible. The precision and detailed craftsmanship in the ceramics on the crowns and bridges is a testament to the top-notch care provided.
Case 76 – Dental Crowns and Veneers
Initially, this patient had fractured teeth, stains, pitting, and old dental restorations. However, after the meticulous placement of 8 veneers, she now sports a radiant and rejuvenated smile, exuding newfound confidence. The transition was profoundly emotional for her; upon seeing the transformation, she was moved to tears of joy, overwhelmed by the beauty of her refreshed smile. Her journey with us underscores the powerful impact of quality dental care on one’s physical appearance, self-esteem, and happiness. We are deeply proud to have played a role in her journey to a brighter, more confident smile.
Case 75 – Dental Crowns
3 1/2 years ago, Dr. Mark McOmie transformed a patient’s smile marred by broken old veneers, stained gumlines, and discolored restorations with expertly crafted veneers and crowns. Upon a recent revisit, the restorations still looked impeccable, as if freshly done. This outstanding longevity and pristine condition spotlight our unwavering commitment to top-tier dentistry. We utilize only the finest materials and ceramists to ensure results that not only dazzle but also stand the test of time.
Case 74 – Dental Bridges
This patient had severe external resorption on teeth #9 and #10, which meant the body was digesting the roots. These teeth were severely mobile and at risk of falling out. To address this, they were removed, and a bridge was constructed, which, combined with veneers, significantly improved the patient’s smile. You can see the incredible craftsmanship on the porcelain bridge. Her smile has improved considerably, and she is delighted with the results.
Case 73 – Dental Crowns
This patient broke her front teeth in a sledding incident, initially getting root canals and bonding done. The bonding proved ineffective, and she lived with broken teeth for years. Our expert cosmetic dentist Dr. McOmie placed 4 metal-free crowns, restoring her smile and confidence.
Case 72 – Dental Crowns
These four crowns our expert cosmetic dentist placed made a world of difference for this patient. Not only did they restore the youthful appearance of her smile, but also her ability to chew with ease and confidence. With the placement of these crowns, her teeth were beautifully transformed, giving her a natural and radiant smile. The combination of cosmetic enhancement and functional restoration has restored her dental health and overall quality of life.
Case 71 – Dental Crowns
These worn teeth get a refresh from our expert dentist. This patient’s old teeth were decaying, yellow, and there are gaps. After placing a mix of crowns and veneers, their teeth shine youthfully.
Case 70 – Dental Crowns
This patient is very happy with her results. Her teeth before weren’t aligned, and miscolored. After we placed new crowns, her smile dazzles. There are no more alignment issues and the teeth are now uniform in color.
Case 69 – Dental Crowns
This patient had severely worn down and chipped teeth, leaving them close to the point of no return. Fortunately, six ceramic crowns were utilized by Dr. Mark McOmie to restore both the aesthetic appeal and functionality of the patient’s teeth. The biocompatible lithium disilicate ceramic material used for the crowns is both safe and durable. Additionally, the master ceramists who crafted the crowns took great care to ensure their work blended seamlessly with the patient’s natural teeth. The end result is both beautiful and functional, allowing the patient to enjoy a natural-looking and fully-functional smile.
Case 68 – Dental Bridge
When a patient came to see Dr. Mark McOmie, she had an old bridge causing a dark gumline due to a likely allergy to the metals in PFM materials. Dr. Mark McOmie placed a new biocompatible bridge that would be both natural-looking and safe for the patient. The bridge was crafted with exceptional attention to detail by our master ceramists to create a flawless and realistic appearance. After receiving Dr. McOmie’s expert care, the patient now enjoys a confident, healthy-looking smile.
Case 67 – Dental Crowns
When this patient came to see Dr. Mark McOmie, his teeth were worn down over the years and stained by an antibiotic called Tetracycline in his youth. Additionally, his old crowns were dark and surrounded by a black gumline caused by a reaction with the materials. Dr. McOmie placed veneers on the lower teeth and a mix of veneers and crowns on the upper teeth to create a bright smile that he is thrilled with.
Case 66 – Dental Crowns
This case was particularly challenging because the patient needed an immediate extraction and conical pontic placement due to periodontitis. Thanks to the skill of our team at McOmie Family Dentistry, the patient was treated successfully, and his new smile is incredible.
Case 65 – Dental Crowns
This case is a testament to the positive impact of cosmetic dentistry. The patient initially presented with broken teeth and cavities, which Dr. Mark McOmie addressed with a combination of crowns and veneers. The procedure results were outstanding, with the patient’s smile being transformed in appearance and character. She is overjoyed with the outcome, which has given her newfound confidence and happiness. This case illustrates the transformative effects that can be achieved with quality dental care.
Case 64 – Dental Crowns
Before treatment, the patient had staining, chipped teeth, and old composite fillings that were not serving him well. Dr. Mark McOmie placed six all-ceramic crowns on teeth six through eleven, restoring the patient’s smile to a natural and healthy look. The new restorations resolved the aesthetic concerns and provided functional benefits by protecting and strengthening the teeth for many years. Overall, the patient’s smile looks great, and the results are a testament to the skill of Dr. McOmie and the master ceramists who built the crowns.
Case 63 – Dental Crowns
This patient came in with eroded maxillary anterior teeth. She was ready to restore her smile. Dr. Mark McOmie placed six porcelain crowns, crafted with outstanding ceramic work and re-contouring the gingiva for a beautiful and natural result. She is thrilled with how it turned out!
Case 62 – Dental Bridges
This patient came to see us with a small lateral incisor and multiple teeth in the wrong spot. Dr. McOmie used 3 veneers to correct this problem. She also had a primary tooth retained on the mandibular anterior, which he replaced with a bridge. She’s now ready for anything with her wonderful smile.
Case 61 – Dental Crowns and Bridge
This patient is a former Airborne ranger who has been through a lot over the years. The wear and tear of life show on his teeth, which made daily function difficult. We restored his smile, bringing his teeth back to a normal size and natural color. He is very pleased with his new, life-changing smile, and his wife is even more delighted than he is!
Case 60 – Dental Crowns and Bridge
Before this patient came to see us, she had dark, chipped teeth with an asymmetrical gum line. She came looking for a natural look to her teeth, and Dr. McOmie and our team provided that. With 6 veneers and 4 crowns that are metal-free and biocompatible, her clean, youthful smile lights up the room.
Case 59 – Dental Crowns and Bridge
When this patient came to see us, his teeth ran uphill to the left side, with chips, old filling material, wear, and discoloration. After Dr. McOmie restored his teeth with 8 veneers and crowns, the results are astonishing. He is now very proud of his new smile, and his wife loves it too.
Case 58 – Dental Crowns and Bridge
Prior to receiving treatment from Dr. McOmie and the team, this patient suffered from decades of worn discolored teeth. We were able to restore his upper and lower anterior teeth using biocompatible materials, which are strong and beautiful.
Case 57 – Dental Crowns and Bridge
Before this patient received the treatment, he was dealing with broken and discolored teeth from an accident many years before. We were able to restore his smile utilizing crowns and a dental bridge giving him a new perfect smile.
Case 56 – Dental Bridges
This was a great case and an even more fantastic result. This patient’s front tooth #8 was hit during an accident years earlier. It turned brown, lost all bone support, and was very mobile when he came to our office. He chose to have a bridge on teeth 7×9 and do a crown on tooth #10 to give us more ability to bring symmetry to his smile. Later we will whiten the rest of his teeth to match. He is super pleased with the result, as you can see in his new smile.
Case 55 – Dental Bridges
A great young lady gets teeth she was born without. After years of orthodontics, she was ready to get the teeth she was born without. This was accomplished by 4 different bridges.
Case 54 – Dental Crowns
This patient was dealing with discolored old metal crowns, which created darkness at the gumline. Dr. Mcomie and our team used a combination of modern porcelain crowns and veneers to give her a new natural-looking smile she deserves.
Case 53 – Dental Crowns
This patient was dealing with a discolored tooth from an accident that occurred when she was a child. Dr. McOmie restored her smile by using a dental crown that was placed over her discolored tooth. Giving her a complete smile.
Case 52 – Dental Bridge
Before receiving treatment from Dr. McOmie and our team, he underwent several orthodontic procedures to move his teeth into the correct position. After that successful procedure, Dr. McOmie and his team were able to place a new dental bridge giving him a new better smile.
Case 51 – Dental Crowns
Prior to receiving treatment from Dr. McOmie and the team, this patient suffered from an uneven gum line and worn and discolored teeth. We were able to restore her smile with dental crowns, veneers, and a gingival recontouring to give her a new brighter smile.
Case 50 – Dental Crowns
After dealing with decaying teeth and worn-out dental work for some time, this patient was able to find Dr. McOmie. We were able to treat this patient with a cleaning and beautiful porcelain crowns that were placed on the max anterior. These handcrafted crowns bring her smile back to life, and she loves her new smile.
Case 49 – Dental Crowns
After years of suffering from stained and worn teeth, this patient received a full-mouth restoration using crowns and veneers to restore their smile. Dr. McOmie did an excellent job giving this patient a bright and youthful smile. The patient is extremely happy and confident with his new smile and the work that was done at McOmie Family Dentistry.
Case 48 – Dental Crowns
After five years of suffering from gapped and old worn down crowns, Dr. McOmie was able to help this patient by replacing his discolored crowns with new beautiful metal-free porcelain crowns making his smile full and bright again.
Case 47 – Dental Crowns and Bridges
This beautiful young lady gets the teeth to fill her beautiful smile. She was born without the lateral incisors. Dr. Mark McOmie was able to help her get the smile she deserves!
Case 46 – Dental Crowns and Bridges
Dr. McOmie was able to help this patient, who had been in a horrible car crash two years ago, regain her smile and confidence. You can see the scars on her face from the lacerations from going through the windshield. When she came to us for her first appointment, she had been wearing an odd type of temporary that was done after the accident. Other dentists told her she couldn’t have her teeth fixed and needed to get a partial denture. We knew that we could help restore her smile the right way, and she cried tears of joy when we tried the bridge on for the first time. Just look at these life-changing results. We love what we do!
Case 45 – Dental Crowns and Bridges
It’s never too late to restore your beautiful smile. This patient was suffering from tooth decay and was missing several teeth. We are so happy Dr. McOmie could help this patient solve her tooth decay problem with some beautiful ceramic crowns and bridges, helping her smile and boosting her confidence.
Case 44 – Dental Crowns and Veneers
After beautiful clean ceramic crowns with non-metal restorations were placed her smile has been restored! Dr. McOmie and his team are so grateful for the opportunity to help her feel young and beautiful again! [gallery type=”slideshow” link=”none” size=”large”
Case 43 – Dental Crowns and Bridges
Look at these beautiful new crowns and bridges that Dr. McOmie did to help this patient get back a smile she loved. Before, she had mismatched crowns, old fillings, crowns with metal copings, which creates different lengths of the teeth and different colors of materials. Dr. McOmie replaced the old crowns with beautiful all-ceramic biocompatible crowns made to match by our master ceramists perfectly.
Case 42 – Dental Crowns and Veneers
Before this patient’s teeth had old discolored restorations there was little symmetry. The teeth were misaligned and had a dark color. Dr. McOmie placed these beautiful ceramic biocompatible crown restorations and veneers.
Case 41 – 4 new dental crowns
4 new crowns make this smile bright. Natural-looking restorations that blend in with the other teeth so you can’t tell they are there.
Case 40 – Dental crowns and implants
It is always a meaningful experience to help a patient recover their smile after a traumatic accident. He fell down one of the major hills in downtown Chattanooga landed on his face skidding to a stop. The accident ground off his top teeth and knocked his lower teeth out. To restore his smile, Dr. McOmie placed implants on the lower anterior, and he is wearing an interim partial as we wait for the implants to integrate. In the meantime, we have completely transformed his upper teeth with porcelain crowns and bridges that look and function like stunning natural teeth.
Case 39 – Dental crowns and a bridge
This case and transformation is nothing short of stunning! Dr. McOmie was able to fix the gums and gum line with gum surgery to prepare her for some crowns and a bridge to help this young lady achieve a gorgeous life-changing smile that she can be proud of.
Case 38 – Dental crowns and veneers
A wonderful case Dr. Mark McOmie recently completed using veneers and crowns to achieve this fabulous new smile.
Case 37 – Dental crowns and veneers were done. Some gingival recontouring
This is a life-changing new smile that this young lady is proud of. Look at her smile!
Case 36 – Dental Bridges
She was born without her lateral incisors. Two bridges were done to replace the missing teeth. Dr. Mark McOmie did the dentistry and the photography of this wonderful smile.
Case 35 – Dental Crowns
Our teeth wear and it can sneak upon us. One day you look and realize they don’t look or chew like they used to. Dr. Mark McOmie was able to make these teeth like new again. Not only do they look better but they really function better.
Case 34 – Dental Bridges and Veneers
Some old bridges that were discolored and worn out were replaced with new metal-free bridges. The lower teeth had veneers done to make them look perfect.
Case 33 – Crown and Veneers
He damaged his front teeth in the fall they were loose we did one root canal. These are three veneers and one crown. They are beautiful.
Case 32 – Crowns and Veneers
Before the teeth were worn into the dentin on the top edge, stained and misaligned we were able to fix all of that with crowns and veneers.
Case 31 – Bridges
This is a wonderful bridges case. These pictures were taken 2 1/2 years apart.
Case 30 – Crowns
Our dental crown restorations gave her a sparkling new smile.
Case 29 – Front Bridge
A broken bridge had this lady not smiling like herself. We were able to help her get her groove back with a new bridge.
Case 28 – Six Crowns
Some old restorations done at another office have discolored over time. Dr. Mark McOmie was able to help her get her smile back with six crowns.
Case 27 – Metal Free Bridge
Such a wonderful person. We think she had lost hope of getting her smile back. She had her front teeth repaired and they left a gap. Dr. Mark McOmie was able to get her teeth back to beautiful. She has such an amazing natural smile!
Case 26 – 4 Metal Free Cosmetic Crowns
Dr. Mark McOmie had the pleasure of helping this guy get his smile back. He had had other priorities in his life he put ahead of his teeth. He had become ashamed of his smile. We were able to give him a smile he can be proud of. We are thankful to him for allowing us to share his pictures with you.
Case 25 – Upper Crowns
When her front tooth fractured off she decided to go ahead and do a smile “re-model”.
Case 24 – Upper and Lower Crowns
She finished her braces with the orthodontist then came to Dr. Mark McOmie to finish her smile. The teeth were worn, chipped and not the color she wanted them to be. Dr. McOmie was able to restore this patients upper and lower teeth and she loves them.
Case 23 – Upper Crowns
When acid reflux destroyed a smile Dr. McOmie was there to help him get his smile back. Gastric Esophageal Reflux Disease (GERD) is a terrible condition. Stomach Acid can erode the teeth away. Dr. McOmie was able to restore this patient’s upper teeth. We are in the process of restoring the lower teeth.
Case 22 – Front Upper Bridge and Veneers
An old adhesion bridge that was done in another state with what looks to be a paper clip was replaced with a real bridge and some veneers for a beautiful outcome.
Case 21 – Front Lower Bridge
Case 20 – Crowns and Veneers
Case 19 – Crowns and Bridges
Case 18 – Crowns
Decayed and broken teeth were restored with 4 ceramic crowns and two bridges. They are made of strong and beautiful lithium disilicate. We love being able to help change peoples lives.
Case 17 – Crowns
This patient who was born in China was adopted at 1.5 years old. She was born with a severe cleft palate/lip. Lee Lee has been in braces for 4 years she had a severe class III bite and severe midline deviation. Dr. McOmie was fortunate enough to get her smile finished out for her after she was done with orthodontics. With the confidence a great smile brings this girl’s potential has no limits! All pictures were posted with the patient and her parent’s permission. She is truly an inspiration to others.
Case 16 – Crowns
Case 15 – Crowns
Case 14 – Crowns and Veneers
Case 13 – Crowns
Case 12 – Crowns
Case 11 – Crowns
Case 10 – Crown
Case 9 – Bridge
Case 8 – Dental Bridge
After dealing with several failing front teeth and bone loss, Dr. McOmie provided this patient with a beautiful new bridge that replaced her natural failing teeth. Her teeth were previously splinted together by another dentist to strengthen them, but due to having little to no bone structure to support her failing teeth, they were about to fall out.











