Traumatic dental injuries often occur as a result of an accident or sports injury, and depending on the severity, they can require various types of restoration. Before and after images are of a patient or patients who have undergone the same treatment with phenomenal results. The photos were taken before the procedure and after the procedure once the full mouth reconstruction treatment has been completed.
Real Patients Cases
Please look through these fabulous dental trauma restoration patient cases to see how Dr. McOmie can help you reconstruct your smile.
Case 19 – Dental Trauma
This case involved restoring two front teeth after a fall caused facial trauma and significant damage to the smile. The injury resulted in fractured front teeth and irregular gum contours. Treatment included placing two custom crowns along with gum contouring to refine the shape of the tissue and improve symmetry. The restorations were carefully crafted by our master ceramists to match natural tooth structure, color, and detail. The result is a seamless, natural-looking smile with both aesthetics and function fully restored.
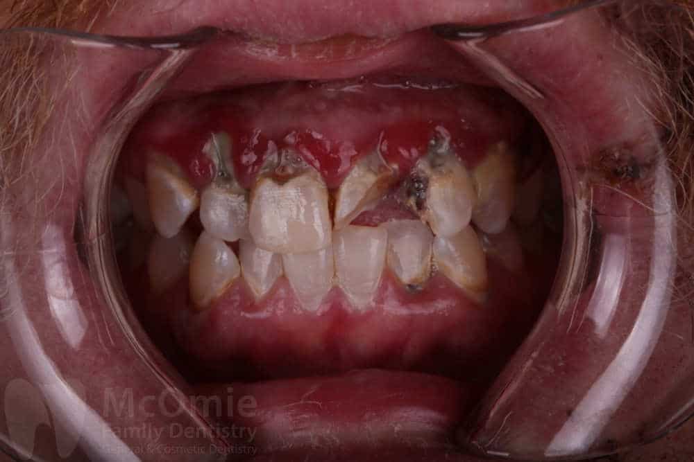
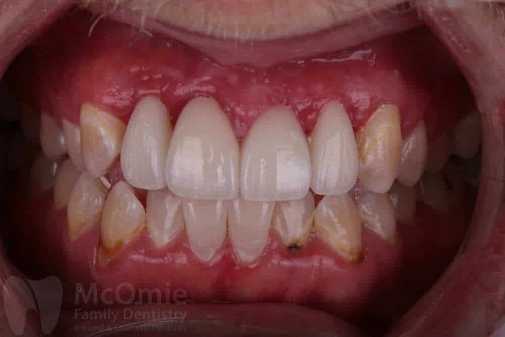
Case 18
This patient came to us after a traumatic facial injury that left several front teeth fractured and caused severe damage to the surrounding gum tissue. Initial photos show broken teeth and torn soft tissue resulting from the accident. Treatment began with gum surgery and supportive therapy to stabilize and promote healing. Once the tissue improved, crowns were placed on the front four teeth to restore strength, appearance, and function. The result is a smile that looks natural and healthy, with both teeth and gums healing beautifully just two weeks post-op.
Case 17 – Dental Crowns repair broken teeth after fall
This patient ground his teeth into the concrete and lodged a piece of his tooth in his lower lip. He needed surgery to remove the piece of tooth, and he came to us to repair his smile. Dr. McOmie and our talented team were able to restore the function and aesthetics of his smile by placing 4 all-ceramic, biocompatible crowns.
Case 16 – Crowns and Veneers fix broken teeth after fall
This patient fell in a crosswalk when it was wet, breaking her front tooth, cracking several others, and injuring her lip. You can see the asphalt embedded into her front tooth. Our dentist placed crowns and veneers, repairing the damage and making her smile look radiant.
Case 15 – New bridge after accident breaks several teeth
This patient accidentally broke several teeth in a fall, pushing her old zirconia bridge through her lower lip. Dr. Mark McOmie fixed her teeth with a new bridge, leaving her confident in her new smile.
Case 14 – Chipped front teeth repaired with ceramic veneers
Sometimes accidents happen. This patient fell, and her front teeth went through her lip. Dr. McOmie got the pieces of teeth out of her lip then restored her teeth, giving her back her beautiful smile!
Case 13 – Chipped front teeth from a fall fixed with ceramic veneers
This patient accidentally fell and chipped her front teeth Dr.McOmie, and the team was able to place ceramic veneers and match them to the natural color of the rest of her teeth, restoring her smile.
Case 12 – Chipped teeth from accident fixed with dental bonding
This little girl fell and broke her teeth Dr. Mark McOmie fixed it. Many years ago at the same age, her mother did the same thing and Dr. McOmie fixed her teeth as well. We love generations of the same family with all their dentistry needs.
Case 11 – Crowns restoration discolored front tooth after trauma
A crowbar to the mouth resulted in a discolored tooth. He couldn’t smile because his tooth was purple. Dr. McOmie did some cosmetic dentistry and now you can’t tell anything happened.
Case 10 – Bullet fragment removal from patients lip
The patient was in a competition handgun shooting match and was timing a competitor. A bullet hit a metal target 20 yards away and spattered. A piece of it hit our patient in the lip. He said it hit him so hard he thought at first it knocked his tooth out. He asked if we would check the tooth and make sure it was alright. When we made the x-ray you could see there is a piece of metal in his face. Dr. McOmie numbed him up and went in and removed the piece of the bullet. It is the copper jacket from a 9mm bullet. Always something interesting going on at McOmie Family Dentistry. We love what we do.
Case 9 – Crown restoration broken front tooth at the gumline
Case 8 – Crown restoration after tripping over a dog leash
She broke her front teeth tripping over a dog leash. Dr. Tori Hall was there to help her get her smile back!
Case 7 – Crown restoration after a soccer accident
When a soccer accident left this young man with a broken front tooth. Dr. McOmie and our team jumped into action. A crown was needed. With our cosmetic high-end crowns, we were able to match this single anterior crown with his other teeth which are very hard to do and make look completely natural. He was very pleased as was his family.
Case 6 – Implant and crown restoration after river rafting accident
This young person was a river raft guide. On a trip down the river, the raft overturned, one of the t-handle paddles hit her in the mouth. The hit broke her front teeth, she had the “fixed” but they were way too long and not the same color. One of the front teeth was lost when the trauma caused the root to erode away. This was replaced with an implant and a crown. Having the teeth the correct color with the correct length made all the difference in the world.
Case 5
Case 4
Case 3
Case 2
Years ago she was in a car accident. She went through the windshield of the car causing massive damage to her face and teeth. In the years to come her front teeth had external resorption. A process where the body starts to digest the roots of the teeth, making them unrestorable left alone they would eventually fall out. She came to Dr. McOmie with loose front teeth fearing the worst. Here at McOmie Family Dentistry, we were able to place implants do some crowns and veneers, and make her smile one of her biggest assets. Warning graphic pictures at the end of this album.
Case 1
When a fall at work left him with fractured teeth and pain. Dr. McOmie was able to restore his teeth back the way they were before the accident. The three crowns that were done are hard to distinguish from the natural teeth!


