Porcelain dental veneers before and after images are of a patient or patients who have undergone the same treatment with phenomenal results. The photos were taken before the procedure and after the procedure once the veneers treatment has been completed. All dentistry and photography are done by Dr. Mark McOmie at McOmie Family Dentistry in Chattanooga, Tennessee.
Real Patients Cases
Please look through these fabulous veneers patient cases to see how Dr. McOmie can help you reconstruct your smile.
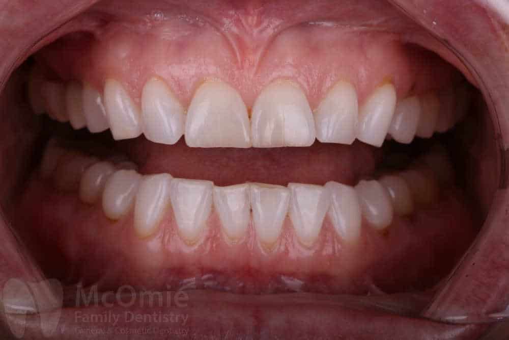
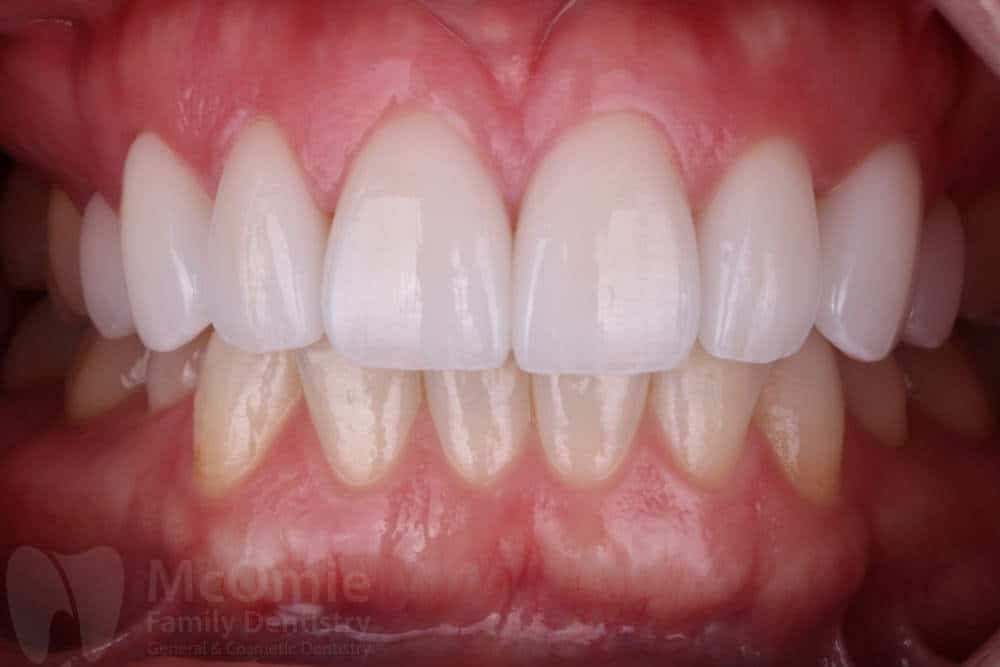
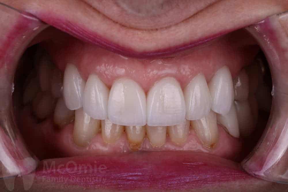
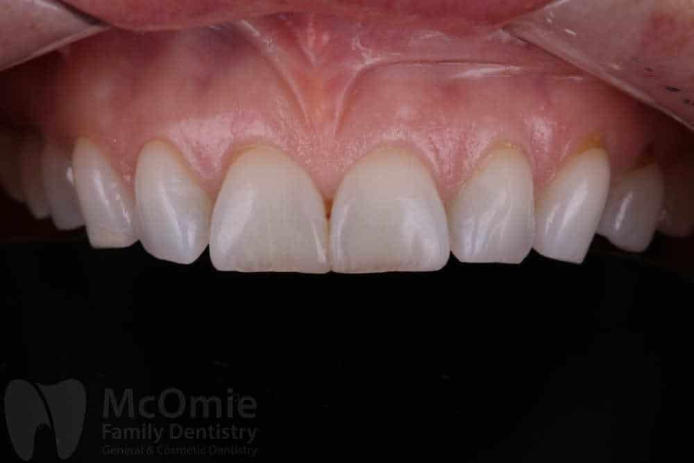
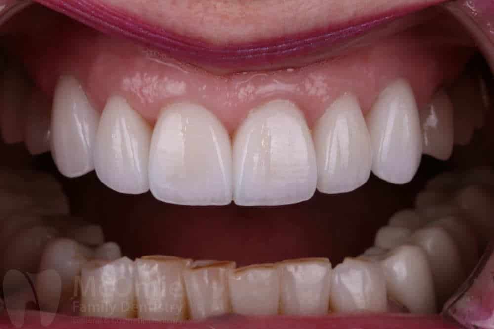
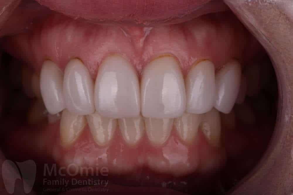
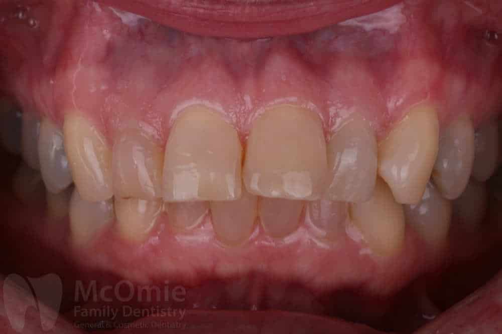
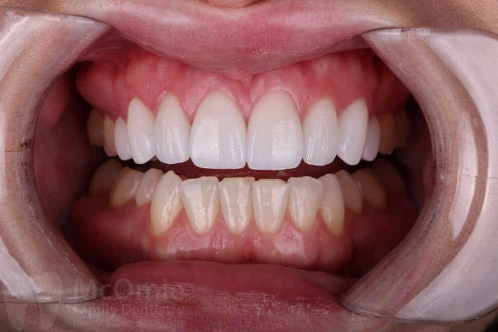
Case 101 – Veneers
This patient wanted to address a discolored front tooth and bring harmony to a smile that felt uneven and unbalanced. With just four minimal-prep veneers, the transformation was dramatic. The veneers corrected the color discrepancy, improved the shape and alignment of the front teeth, and created a more symmetrical and radiant smile. Crafted by our master ceramists at Oral Arts, the veneers feature subtle detailing and natural translucency that bring the teeth to life. The result is a refined, vibrant smile that draws attention for all the right reasons.
Case 100 – Veneers
This patient came in with veneers that had been placed many years ago. While they had held up over time, the older materials lacked the natural translucency and ideal shape she wanted. The veneers were short of the gumline, dull in color, and no longer matched her vision for a bright, beautiful smile. Dr. McOmie replaced them with updated ceramic veneers featuring a natural color gradient, lifelike translucency, and more youthful contours. Crafted by our master ceramists, the final result is a radiant, natural-looking smile that reflects both precision and artistry.
Case 99 – Veneers
This patient had a set of older veneers that no longer met today’s standards for esthetics or fit. Over time, changes such as gingival recession exposed the edges of the original porcelain, and the overall appearance lacked the natural detail possible with modern materials. Dr. McOmie replaced the upper veneers with new restorations crafted using advanced ceramics. These updated veneers offer lifelike translucency, improved contour, and seamless integration with the gumline. The result is a refreshed, natural-looking smile that reflects both precision and artistry.
Case 98 – Veneers
This case involved a full cosmetic restoration using a combination of crowns and veneers. The patient had concerns about tooth alignment, dark coloration, and stained or aging dental work. Many of the older restorations had become discolored and no longer blended well with her smile. Dr. McOmie used a mix of crowns and veneers to correct shape, color, and alignment, replacing outdated restorations with lifelike, natural-looking materials. The result is a beautifully even, radiant smile crafted with fine detail by our master ceramists.
Case 97 – Veneers
This patient originally had veneers placed around 20 years ago and returned to update her smile with newer materials and improved aesthetics. The previous veneers, though well-maintained, were made with older technology and showed signs of aging. With advancements in ceramic materials, her new veneers offer enhanced translucency, color accuracy, and natural detail. The result is a fresh, lifelike smile that reflects the progress made in cosmetic dentistry while delivering strength and durability.
Case 96 – Veneers
This patient wanted a smile that felt brighter, more polished, and reflective of her personality. She received six custom veneers to enhance the color, shape, and symmetry of her front teeth. The final result is a clean, radiant smile that looks natural and brings out her confidence. Each veneer was carefully crafted to deliver a lasting cosmetic and functional improvement.
Case 95 – Veneers
This case involved replacing a set of older veneers that had become dull, lacked natural contours, and didn’t fully meet the gumline. The original restorations, done years ago at another office, had lost their aesthetic appeal and no longer complemented the patient’s smile. New veneers were designed and placed by Dr. McOmie in collaboration with our master ceramists, with close attention to edge detailing, shape, and proper gumline coverage. The final result is a vibrant, lifelike smile with veneers that look natural and polished in every aspect.
Case 94 – Veneers
This case features a set of porcelain veneers designed to enhance both aesthetics and durability. The patient had previous restorations with visible staining and minor cosmetic concerns. Working closely with our master ceramists, each veneer was crafted with natural surface texture, lifelike translucency, and careful layering to achieve a realistic appearance. The final result is a polished, vibrant smile with detailed craftsmanship and long-term strength.
Case 93 – Veneers
This patient had old veneers from another office that didn’t match the natural proportions of their smile. The teeth appeared too short, throwing off the overall balance. We placed four new veneers to correct the length and improve the shape, and performed gum contouring to enhance symmetry. The result is a more natural, polished smile that fits the patient’s features beautifully.
Case 92 – Veneers
This patient wanted to improve the appearance of her front teeth, which had old composite fillings and staining. Six custom veneers were placed to replace the discolored restorations and enhance the overall look of her smile. The veneers were designed with natural translucency and detailed layering, creating a result that is both beautiful and strong. The transformation restored confidence and delivered a bright, polished, and durable smile.
Case 91 – Veneers
This case involved restoring the upper front teeth with six custom veneers to improve aesthetics and reinforce tooth structure. The patient had concerns about appearance and overall tooth condition. The veneers were carefully designed to bring back natural beauty, restore symmetry, and improve strength. Crafted by skilled ceramists, the porcelain shows remarkable detail, including natural translucency and lifelike contours. The result is a functional, long-lasting smile with a highly refined finish.
Case 90 – Veneers
This patient presented with gaps between the teeth and aging composite bonding that had begun to stain and break down. To address both cosmetic and structural concerns, six veneers were placed to improve tooth shape, close spaces, and provide a stronger, longer-lasting solution than bonding. The veneers were crafted with exceptional attention to detail, especially along the edges, creating a natural and durable result that enhances both appearance and function.
Case 89 – Veneers
This cosmetic case was completed with six custom veneers to enhance the smile’s appearance and improve tooth structure. The patient had an old veneer and visible gum recession, along with concerns about aesthetics and durability. The new veneers were carefully crafted and placed to create a bright, natural-looking smile. In addition to the cosmetic benefits, the veneers strengthen the teeth and help protect against future wear or chipping.
Case 88 – Veneers
This case involved placing twelve veneers—six on the upper and six on the lower—to create a fuller, more balanced smile. The patient was particularly concerned about asymmetry on the lower right side and wanted a broader, more even appearance. A digital design was used to plan the case, and custom temporaries were created from printed models, allowing her to preview the smile before final placement. The final veneers deliver a natural, beautifully proportioned result that meets both aesthetic and functional goals.
Case 87 – Veneers
This case involved placing twelve custom veneers to improve the appearance and durability of the patient’s smile. The treatment addressed old filling material, edge chipping, and overall cosmetic concerns. Six veneers were placed on the upper teeth and six on the lower, creating a balanced and natural result. The new veneers enhance the smile’s aesthetics while also reinforcing the structure of the teeth for long-term function.
Case 86 – Veneers
After years of braces, this patient was ready to take her smile to the next level. While orthodontics improved alignment, she wanted a more refined and vibrant appearance. Dr. Mark McOmie placed six custom veneers, enhancing the shape, color, and overall aesthetics of her smile. The final result is a natural, radiant look with lifelike porcelain detail, crafted by our master ceramists. The veneers blend seamlessly with her features, and the healthy, pink gingiva highlights the biocompatibility of the materials used. With her new smile, she was able to confidently attend a wedding and light up the room.
Case 85 – Veneers
A childhood accident left this patient with broken front teeth, which had been repaired over the years with dental bonding. While the bonding improved their appearance, she wanted a more beautiful and natural-looking smile—one that truly reflected how her teeth looked before the accident. To achieve this, Dr. Mark McOmie placed one crown and five custom veneers, carefully designed to restore the original shape, color, and proportions. The final result is a seamless, lifelike smile that brings back both function and confidence.
Case 84 – Veneers
This case highlights exceptional porcelain work and smile design, resulting in a natural, radiant appearance. Custom veneers were placed to enhance the shape, color, and overall balance of the teeth. Despite significant gingival inflammation at the time of treatment, careful attention was given to achieve the best outcome, with noticeable improvement in the post-treatment photos.
Case 83 – Veneers
This patient wanted to enhance his smile by improving the length and color of his teeth. The teeth had been worn down, creating an uneven appearance that affected both aesthetics and function. To restore proper proportions, we placed six custom veneers, carefully designed to achieve the ideal length and a natural, well-balanced shade. The final result is a refined, confident smile with enhanced appearance and durability.
Case 82 – Veneers
This transformation showcases the dramatic improvement achieved with six custom veneers placed by Dr. Mark McOmie. The veneers restored the vibrancy and natural appearance of the teeth, with careful attention to detail, including lifelike translucency and side-to-side developmental features that mimic natural teeth. The result is a stunning smile that looks alive and radiant, bringing confidence and a balanced, harmonious appearance to the patient.
Case 81 – Veneers
This case involved correcting the overall appearance of a smile by placing six custom veneers. The veneers addressed inconsistencies in the shape, color, alignment, and size of the teeth, creating a balanced and beautiful result. The veneers were meticulously crafted, showing lifelike details, including natural translucency and precise contours. The final smile is ideal in proportions and appearance, enhancing both aesthetics and functionality.
Case 80 – Veneers
Years of wear had left this patient’s teeth thin, worn, and prone to crumbling. Wanting to restore both strength and appearance, he opted for veneers. Dr. Mark McOmie placed six veneers, carefully designed to restore the teeth to their original size, shape, and color. These conservative restorations provide long-lasting strength and durability while achieving a natural, lifelike appearance. The patient now has a beautiful smile he can confidently enjoy for the rest of his life.
Case 79 – Veneers
This patient’s teeth were affected by deep staining from tetracycline, an antibiotic once prescribed during childhood, which left dark, internal discoloration that couldn’t be lightened with whitening. To address this, Dr. McOmie placed ceramic veneers on the front teeth, effectively concealing the stains and creating a brighter, naturally beautiful smile. The new veneers not only enhance the appearance but also provide long-lasting coverage for the underlying discoloration.
Case 78 – Veneers
Alignment issues, uneven tooth length, and old fillings were affecting this smile’s overall appearance. The teeth also showed noticeable inconsistencies in color. To correct these concerns, Dr. McOmie placed 16 veneers, achieving a balanced, naturally colored smile with the ideal length. Crafted by our skilled ceramists, these veneers not only enhance the cosmetic look but also ensure proper functionality. The meticulous attention to detail, particularly at the incisal edge, gives the patient a realistic, natural finish that beautifully enhances their smile.
Case 77 – Veneers
To rejuvenate a smile affected by old veneers and mismatched bonding, we replaced the existing restorations with six new porcelain veneers. The previous veneers on the lateral incisors had visible edges and lacked brightness, while the bonding on a front tooth was rough and discolored. Crafted by our master ceramists, the new veneers exhibit natural translucency and developmental details that closely mimic real teeth. Special care was taken to make them look vibrant and lifelike, resulting in a radiant smile that beautifully enhanced their overall appearance.
Case 76 – Veneers
This patient presented with discolored bonding and teeth that leaned slightly to the right. The discoloration affected the overall appearance, and the misalignment contributed to an uneven smile. four custom veneers were placed, resulting in a stunning cosmetic transformation. The veneers were crafted with intricate detail, showcasing the expertise of our master ceramists. Upon close inspection, the edges reveal the careful layering and translucency that mimic the look of natural teeth, providing the patient with a beautifully realistic and balanced smile.
Case 75 – Veneers
We placed six ceramic veneers for this patient, achieving a stunning cosmetic dentistry outcome. Crafted by our master ceramists, the veneers’ intricate details give the teeth a lifelike appearance. This case exemplifies both the aesthetic and functional excellence of our cosmetic dentistry.
Case 74 – Veneers
One of our long-time employees wanted veneers for years. By reshaping her gums and adjusting her teeth, we achieved a remarkable transformation. She is extremely proud of the results, giving her a much more full smile.
Case 73 – Veneers
The transformation of the patient’s dental appearance showcases a remarkable journey from stained, worn teeth with noticeable “ditching” at the gum line – a condition referred to as abstraction – to a revitalized smile. Dr. McOmie’s placement of 8 veneers not only addressed aesthetic concerns like staining and chipping but also contributed to the structural reinforcement of the teeth. The work of our master ceramists is evident in the final result, where the detailed work provides the veneers with a lifelike quality.
Case 72 – Veneers
The transformation of the patient’s dental appearance showcases a remarkable journey from stained, worn teeth with noticeable “ditching” at the gum line – a condition referred to as abstraction – to a revitalized smile. Dr. McOmie’s placement of 8 veneers not only addressed aesthetic concerns like staining and chipping but also contributed to the structural reinforcement of the teeth. The work of our master ceramists is evident in the final result, where the detailed work provides the veneers with a lifelike quality.
Case 71 – Veneers
Before treatment, this patient’s teeth were uneven and visibly worn. After Dr. McOmie and our expert ceramists applied six dazzling veneers, the transformation was stunning. The teeth now radiate with a healthy, gleaming appearance. These enhancements have given the patient a brilliantly renewed smile.
Case 70 – Veneers
This young patient had congenitally small teeth. His braces had just been removed, and the orthodontist had left gaps in order to make room for veneers. Dr. McOmie placed 6 veneers on the front teeth, as well as reshaping the gingiva, in order to create a dazzling, symmetric smile. See the details in the ceramics that make the teeth look more natural and alive.
Case 69 – Veneers
This patient was dissatisfied with her smile due to uneven front teeth, color inconsistencies, and a noticeable dark spot on her upper gumline. After getting 8 veneers placed, she received a final result that reflected her vision. See the detailed work on the veneers that bring her smile to life. She cried tears of joy upon seeing her new dazzling smile.
Case 68 – Veneers
In this heartwarming case, a patient in their late 70s sought cosmetic dental treatment to enhance their smile. They opted for veneers over orthodontics to achieve quicker results. Initially, their family members had reservations about the decision, but their perspective shifted after seeing a photo of the patient’s teeth. Once the treatment was completed, both the patient and their spouse were deeply moved, with the spouse becoming visibly emotional. The outcome of the treatment surpassed the patient’s expectations, making it a profoundly gratifying experience for all parties involved.
Case 67 – Veneers
When this patient visited our office, she had crooked, discolored teeth with old fillings. Her teeth were stained by an antibiotic called Tetracycline. After placing six biocompatible ceramic veneers, her smile is dazzling. Her beautiful teeth are the result of great work put in by us and our master ceramists. She is thrilled with her renewed smile, which has enhanced both her appearance and her confidence.
Case 66 – Veneers
The patient was unsatisfied with her smile and decided on veneers as a solution. After placing eight veneers each on the top and bottom rows of teeth, her smile underwent a significant transformation. The veneers, chosen for their perfect fit and natural look, have given her a dazzling new smile. This treatment has not only improved her smile’s appearance, but also boosted her confidence.
Case 65 – Veneers
This case highlights the power of cosmetic dentistry to improve a person’s life. After having old, discolored, worn-down veneers for nearly three decades, this patient came to Dr. Mark McOmie seeking an upgrade. Dr. McOmie placed biocompatible porcelain veneers and, with the help of our master ceramists, was able to create a set of teeth that looks completely natural and vibrant. The patient is overjoyed with her new smile – it’s so healthy-looking and full of detail, and it has made a massive difference in her life. She feels more confident than ever before.
Case 64 – Veneers
When the patient came to see Dr. Mark McOmie, his teeth were worn and chipped. After placing six veneers, his smile shone brightly. The crafting of veneers is meticulous and time-consuming, requiring several hours of careful work from our master ceramists to achieve the desired result. The patient is thrilled with their new smile and feels more confident than ever.
Case 63 – Veneers
This case of 6 veneers greatly improves this patient’s smile and overall look. Before coming in to see Dr. Mark McOmie, the teeth were misshapen and discolored. After, the beautiful details in the dental veneers make his smile look alive.
Case 62 – Veneers
This patient had bonding done by a previous dentist, which was chipping and staining. Dr. Mark McOmie placed veneers with minimal prepping, giving her a beautiful, natural smile that lights up the room. She is delighted with how it turned out, and we are thrilled to have made such an impact on her life with such a subtle change.
Case 61 – Veneers
This patient had previously undergone orthodontic treatment, which left her teeth with bumps and irregularities, affecting her confidence and self-esteem. Dr. Mark McOmie worked with experienced ceramists to customize the eight veneers on teeth #5 – #12 to give her the stunning smile she wanted. After undergoing the procedure, her results were gorgeous and natural looking. The new smile restored her confidence; she even shed tears of joy when she saw how amazing her new smile looked in the mirror! The difference between before and after was incredible—the same teeth that once ran uphill to one side now had an even spread thanks to Dr. McOmie’s skillful work.
Case 60 – Veneers
When this patient came in, she said her front teeth had a few chips that needed to be fixed. She was surprised when she was sat with permanent veneers by Dr. Mark McOmie. She had no idea she could have such beautiful teeth and this restoration would allow her to progress in her life with confidence.
Case 59 – Veneers
A stunning case of veneers. This patient came in with teeth worn down and cracked from the wear and tear of life. With veneers placed by Dr. Mark McOmie, her former dazzling smile was restored, and her new smile lights up the room.
Case 53 – Porcelain Veneers
After an accident, the front tooth broke and was repaired at another dental office a few years ago. Unfortunately, this repair left her with a discolored tooth from the filling. So the patient wanted it to match the rest of her teeth better and be more durable to last for years. We love keeping a conservative approach to our work and not doing an extra veneer on a healthy tooth just to make them match. Dr. Tori Hall did a masterful job matching the veneer to her natural teeth, which is very hard to do with a single maxillary central incisor (front tooth).
Case 52 – Six Porcelain Veneer
After dealing with discolored and chipped teeth from the normal wear and tear of life, We were able to restore her smile with 6 porcelain veneers giving her a new youthful smile she can show off to the world.
Case 51 – Porcelain Veneers
This patient’s smile was discolored and misaligned, The veneers that Dr. McOmie placed have changed her smile for the better, giving her a boost of much need confidence.
Case 50 – Porcelain Veneers
Before this patients’ teeth were of different shapes and sizes. Dr. McOmie and our team were able to give her a new, even, and symmetrical smile.
Case 49 – 10 Emax Veneers
This patient looks like a different person with confidence she has never had. After completing her restoration, she was beyond words. Dr. McOmie did 10 Emax veneers for an incredible full white smile!
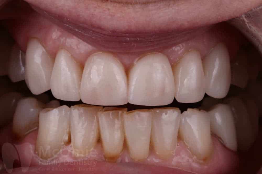
Case 48 – 8 Porcelain Veneers
A recent case that Dr. McOmie completed. Her smile makeover utilized eight veneers, giving her a new full white smile. She is a wonderful person who deserves to have a wonderful smile.
Case 47 – Porcelain Veneers
This patient was dealing with tetracycline yellow stains and darkening of the teeth caused by antibiotics given to her when she was a child. Dr. McOmie restored this patient’s smile with gorgeous veneers giving her back a long-lasting, youthful smile she can be proud of showing off.
Case 46 – Porcelain Veneers
This patient came to see Dr. McOmie seeking help for the old composite restoration that was misaligned and yellowing that she had done to her teeth when she was a teenager. Dr. McOmie was able to restore her smile with porcelain veneers that filled the gaps between her teeth and gave her teeth a naturally white look, giving her a new complete and bright smile that shot her confidence through the roof.
Case 46 – Porcelain Veneers and Crowns
After suffering from crooked canines and yellowing teeth, Dr. McOmie gave this patient a cosmetic dental restoration using a mixture of crowns and veneers that gave her a new white smile. This procedure also corrected some of the crooked teeth making this smile lovely and uniform.
Case 45 – Crowns and Veneers
Before coming into our office, this patient suffered from old angled, worn, discolored teeth from a restoration done decades ago. Dr. McOmie placed new biocompatible porcelain veneers to give this actress a youthful and dazzling smile with perfect angles and an even coloration through her whole smile.
Case 44 – Six Porcelain Veneers
Before this patient came to see Dr. McOmie, she was suffering from an old restoration, which was uneven and yellowing. Dr. McOmie restored her smile with six new biocompatible porcelain veneers, Giving her a new beautiful smile with an even gum line getting her ready for her wedding.
Case 43 – Eight Porcelain Veneers
With a misaligned smile and gaps between teeth, this patient was unhappy with his smile and wanted a solution to improve his smile and confidence. After getting to know this patient’s needs, Dr. McOmie was able to help by placing eight biocompatible porcelain veneers, giving him a beautiful and natural-looking smile that he loves.
Case 42 – Porcelain Veneers
After suffering from misaligned and stained teeth, this patient found our Chattanooga dental office, where Dr. McOmie placed bio-compatible porcelain veneers to make this patient’s smile bright and beautiful again.
Case 41 – Six Porcelain Veneers
After suffering from short and stained teeth for quite some time, we were able to help her smile by placing six new beautiful bio-compatible veneers that are metal-free—giving her a new full smile.
Case 40 – Four Porcelain Veneers
This patient was ecstatic that we were able to help her smile again. This veneer procedure allowed us to cover the existing gingival recession and decrease her tooth sensitivity.
Case 39 – Eight Porcelain Veneers
This patient wanted to improve her smile by fixing her translucent teeth with worn enamel. After the eight natural-looking beautiful dental veneers were done this patient is incredibly happy with her new smile.
Case 38 – Four Porcelain Veneers
This case turned out fantastic! She said she is now getting lots of compliments on her new smile and it will take some time for her to get used to getting compliments as opposed to hiding her smile.
Case 37 – Porcelain Veneers
A wonderful case Dr. Mark McOmie did. These old veneers needed to be updated. Her smile tells the story. The old veneers are not as durable as the new materials we use. These veneers probably date back to the ’90s. Now she has a smile to be proud of.
Case 36 – Eight Porcelain Veneers
8 veneers change this smile to make it show beautifully. Gingival recontouring helped changed the gummy smile look to a beautiful smile, full of pretty teeth.
Case 35 – Six Veneers
Six natural veneers make this smile dazzle.
Case 34 – Four Veneers
Four veneers and some bonding at the gum line put beautiful teeth in her beautiful smile.
Case 33 – Six Veneers
Six veneers make a huge difference. These teeth are now youthful and beautiful.
Case 32 – Eight Veneers
This smile needed an update. Wear and tear over the years and a recent chip made him come in seeking an upgrade. Dr. McOmie did 8 veneers to make him look great again. As always posted with the patient’s permission all dental work and photography done by Dr. Mark McOmie at McOmie Family Dentistry in Chattanooga TN.
Case 31 – Eight Veneers
Sometimes your teeth are just too small. The lateral incisors are called “peg laterals” a simple veneer can be placed on these teeth giving them a great color and making them the right size and shape. 8 veneers make this smile wow.
Case 30 – Veneers
This case was done by Dr. Tori Dixon Hall. This person had chipped her front teeth. When she was a child she had bonding done at her childhood dentist in another city. It was not matching and didn’t look good. Also, the gums were not matching in height. Dr. Hall did two veneers and made the gums match better. In case you can’t tell the veneers were done on the two front teeth, (the central incisors).
Case 29 – Four Veneers
Two veneers were done years ago, and then she decided to re-do them to a lighter color and let Dr. McOmie do two more to make the teeth proper size and fit into her smile to make it dazzling.
Case 28 – Veneers
Case 27 – Veneers
Case 26 – Veneers
A black triangle in the middle of her front teeth bothered her for years. She wanted to get a smile as pretty as she is. Some veneers were done and Dr. Mark McOmie was able to freshen up these teeth. Getting rid of some unwanted spaces and rotations all while making the teeth look whiter clean and fresh.
Case 25 – Six Veneers
Born with small teeth lead to gaps. She wanted a great smile so she came to McOmie Family Dentistry. Dr. Mark McOmie was able to help her get a celebrity smile. We thank her for allowing us to share her before and after photos with you. We love what we do.
Case 24 – Minimal Prep Veneers
Veneers can often be minimal in preparation design leading to beautiful results. This case was done with six veneers giving her a dazzling smile. After years of braces, her bite was still open. After the veneers, she was able to chew properly.
Case 23 – Veneers
Some small teeth and some rotations on the teeth were able to be corrected with just four very lightly prepped veneers.
Case 22 – Veneers
He had a tooth that was rotated and a few chipped teeth. He wanted a smile to be proud of.
Case 21 – Veneers
We started with just doing bonding when she was younger she wore that for years. Now that she is almost out of college she chose to switch to more permanent and much more durable porcelain veneers.
Case 20 – Veneers
Case 19 – Veneers
Old discolored restoration and some dental decay left this smile with a lot to be desired. Dr. McOmie did a couple of crowns and some veneers and now he has a smile he can be proud of.
Case 18 – Veneers
Case 17 – Veneers and Crown
A crown that was off-color in the front and worn teeth made her wonder if she could make her smile nicer. A new crown and veneers matched up to make this smile natural and beautiful. She will continue whitening her lower teeth to make them match.
Case 16 – Veneers to Fix Gap and Chips in Teeth
Case 15 -Veneers
This patient wanted to have a great smile, but he was not sure how to do it. Then he came to McOmie Family Dentistry. He met with Dr. Mark McOmie. They set out a plan starting with the design of his smile. Using veneers and replacing a crown, they came up with a design the patient liked. We then used that design as his temporaries. Then the final restorations were placed. When he came in for a follow-up visit he was asked how he likes them he said: “I love my teeth, my only regret is I wish I would have found you years ago and done it then.” We love what we do, and it shows. We take pride in every cosmetic procedure. It really matters!
Case 14 – Veneers
Worn teeth, asymmetric gumline brought this model to Dr. McOmie to make her teeth perfect once again. Minimal prep veneers came through to make her teeth shine bright!
Case 13 – Veneers
After the teeth are beautiful. The restorations are very biocompatible, you can tell this by looking at the healthy gingiva around each restoration. Note that the edges of the teeth have translucency and the proper developmental ridges that natural beautiful teeth have.










